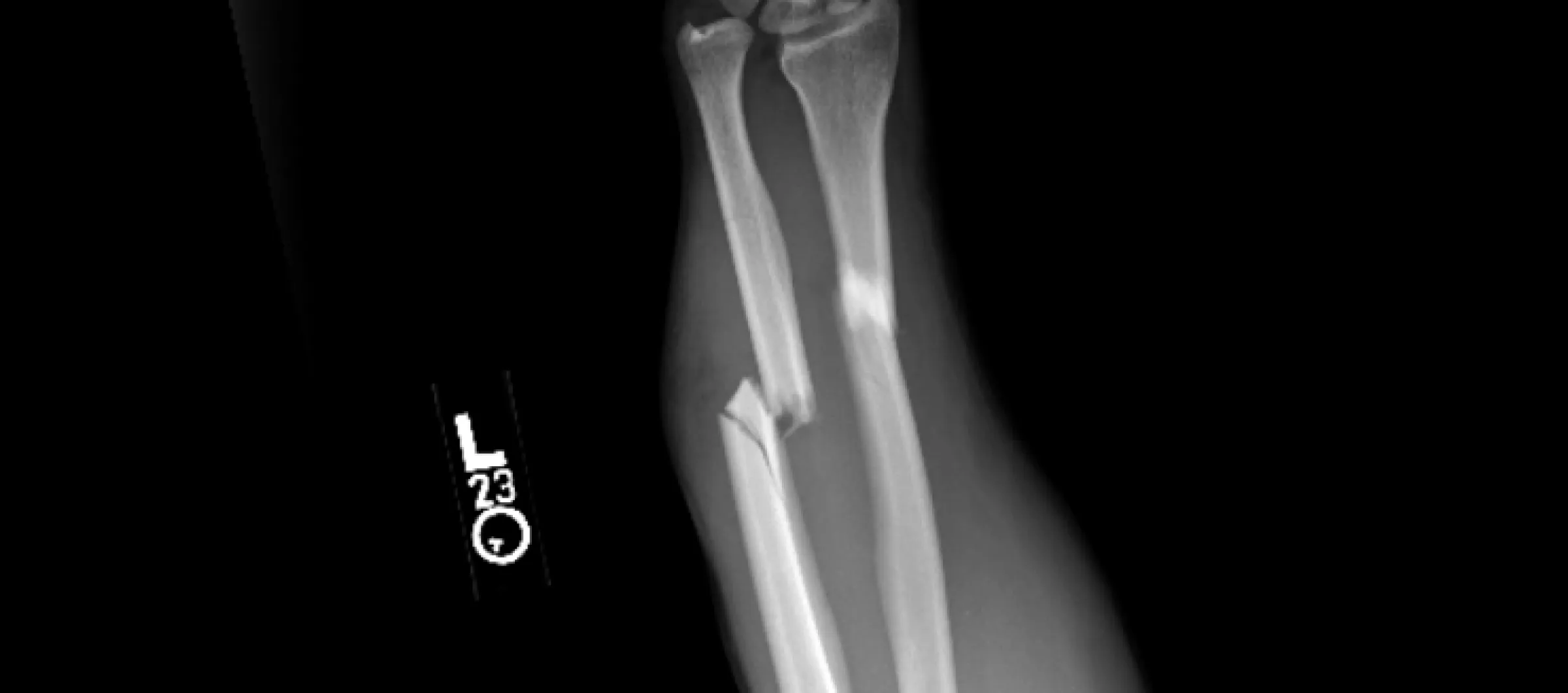
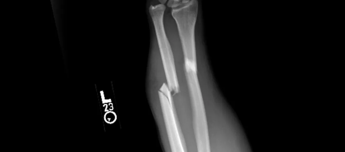
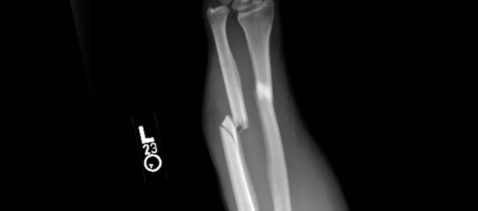
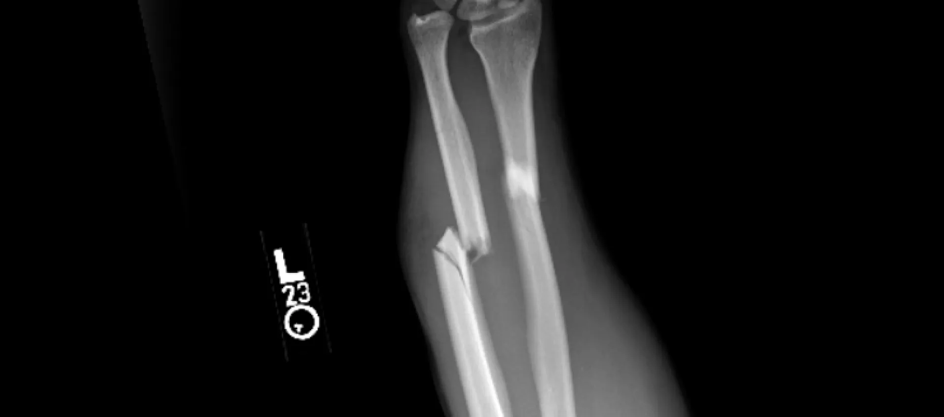
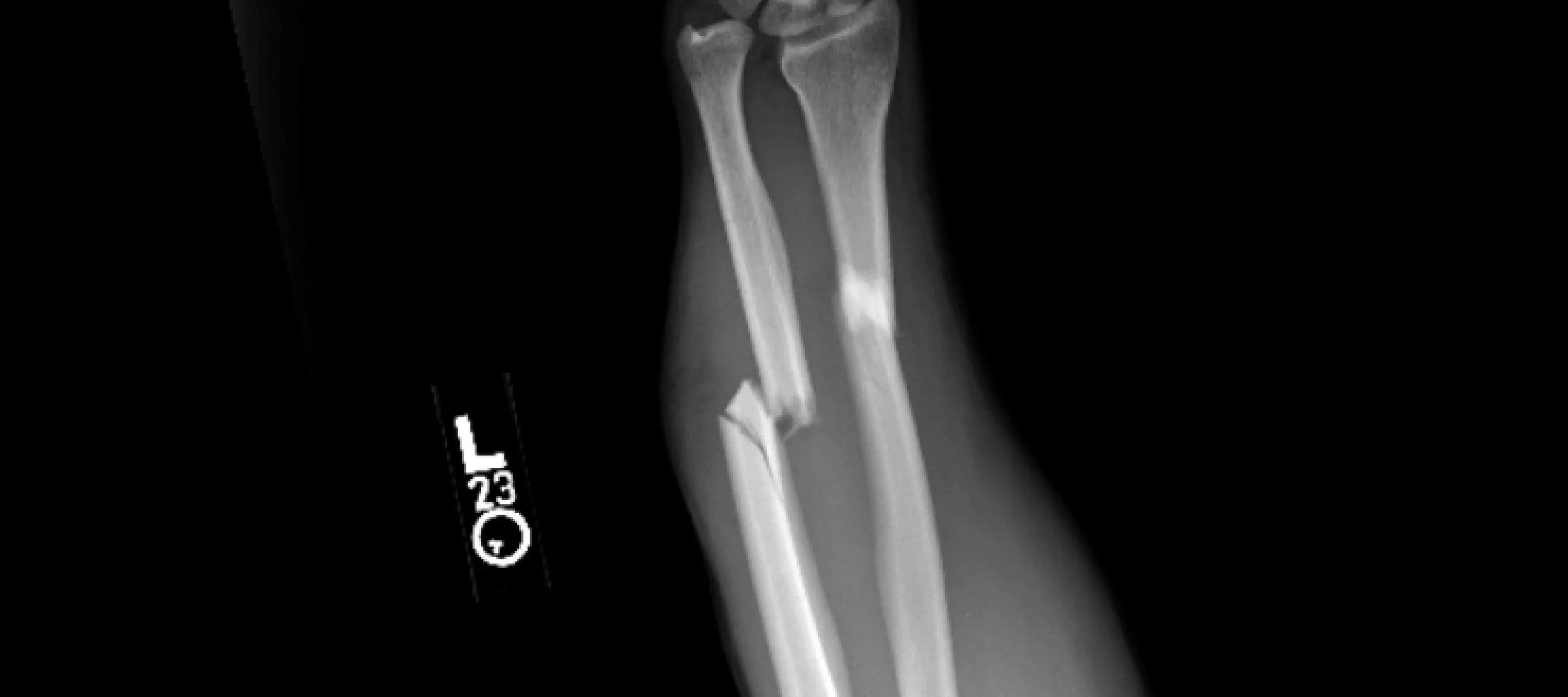
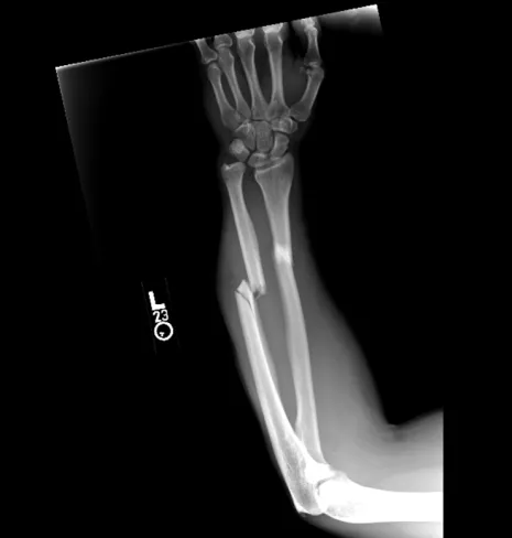
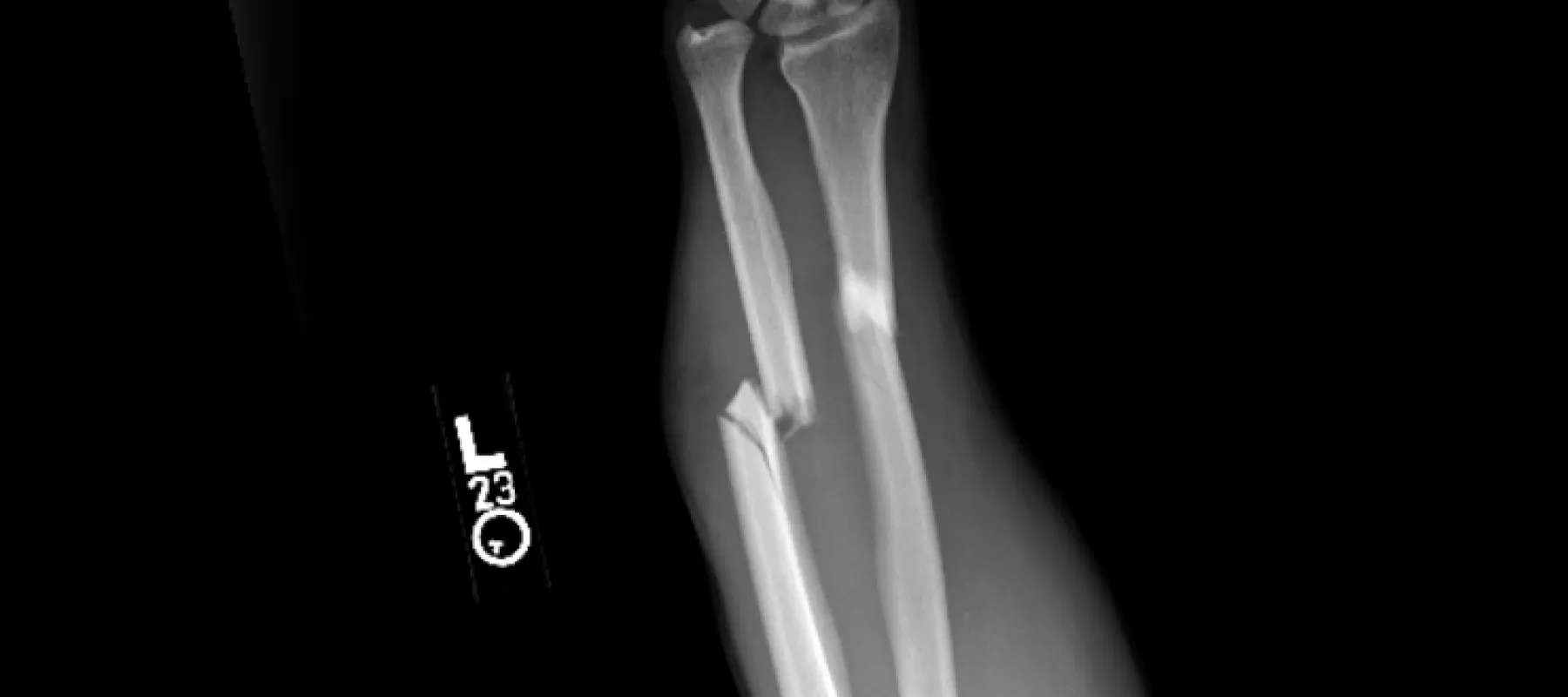
Fractures
Bone injuries, known as fractures, are one of the most common reasons most people will visit an orthopedic surgeon. It is estimated that by 2025, in the US alone, 3 million fractures will occur every year. Some of this is driven by our aging population, but many of these occur in healthy young adults. In healthy individuals, fractures are usually related to higher energy trauma such as falls, sports injuries, and vehicle accidents.
If you think you have a fracture, call one of our offices or book an appointment online to get started.
Common Conditions
Clavicle Fractures
Proximal Humerus Fractures
Humerus Fractures
Radial Head Fractures
Distal Radius Fractures
Scaphoid Fractures
Hand Fractures
Pelvis and Hip Fractures
Femur and Tibia Fractures
Tibial Plateau Fractures
Ankle Fractures
Fifth Metatarsal Fractures
Forefoot Fractures
Treatment
At Pacific Crest Orthopedics, we customize a treatment plan to meet your individual needs. The fractures listed above are some of the most commonly seen, however, we treat all bone injuries. We put together a treatment plan depending on your type of fracture. Treatment can involve splinting, casting, or in some cases, surgical fixation. See more on our surgery treatments.
Ephraim Dickinson, MD at Pacific Crest Orthopedics has extensive experience treating fractures and helping to get you healed properly and back to activity. If you have questions about a fracture, call Pacific Crest Orthopedics in San Francisco or use the online booking tool to schedule an appointment today.
